Doe als werknemer of ZZP’er mee aan het stress-onderzoek

In het stress-onderzoek kijken we naar oorzaken van stress bij mensen die werken.
Met deze kennis kunnen we zorgen dat stress eerder wordt gesignaleerd en mensen fijner werken.
Wil jij bijdragen aan wetenschappelijk onderzoek en ben jij
1 van de slechts 1.000 werkenden die kan meedoen?
Hier lees je hoe dat in z’n werk gaat. De FAQ’s staan onderaan de pagina.

Ik wil als werknemer of ZZP’er meedoen aan het stress-onderzoek

In dit onderzoek kijken wij naar mogelijke voorspellers van stress
en stress-gerelateerde klachten (zoals burn-out) bij werkenden.

Hoe gaat het in z’n werk?

1. Je meld je aan via de zwarte knop.

2. Wij bellen je op voor een afspraak.

3. De afspraak is op een locatie bij je arbodienst of de werkgever.
Je ontvangt hier een smartwatch en je installeert een app op je telefoon.

4. Het onderzoek start direct.
Je digitale horloge meet lichamelijke signalen en je vult dagelijks vragenlijsten in.

Wanneer kan je meedoen?

Je bent tussen de 18 en 67 jaar oud;

Je werkt minimaal 12 uur per week (als werknemer of zzp’er).

Je hebt een mobiele telefoon waar je een app op kunt downloaden.

Je kunt vragen in het Nederlands of in het Engels beantwoorden.

Je bent een heel jaar lang beschikbaar vanaf de start van het onderzoek.

Je bent op dit onderzoek gewezen door je werkgever of opdrachtgever.

Wat krijg je ervoor terug?

Je krijgt een vergoeding van €200,-.

Je mag je smartwatch houden!

Je krijgt na een jaar een persoonlijk rapport over je metingen.

En je helpt de maatschappij om meer grip te krijgen op stress!

Bonus: ik wil óók meedoen aan het MRI-onderzoek

Met het MRI-onderzoek kijken we hoe het brein, lichaam en gedrag reageren op stress.
En waarom sommige werknemers of zzp’ers veerkrachtiger blijven dan anderen.

Hoe gaat het in z’n werk?

1. Je doet al mee aan het stress-onderzoek.

2. Tijdens de intake kunnen je aangeven dat je als 1 van de slechts 250 mensen mee wilt doen aan het MRI-onderzoek.

3. Je wordt uitgenodigd om op 1 dag 2,5 uur naar het Donders Instituut in Nijmegen te komen op een dag die jou goed uitkomt.

4. Tijdens het bezoek ontvang je een MRI-scan en een vragenlijst. Ook wordt er bloed afgenomen.

Wat krijg je ervoor terug?

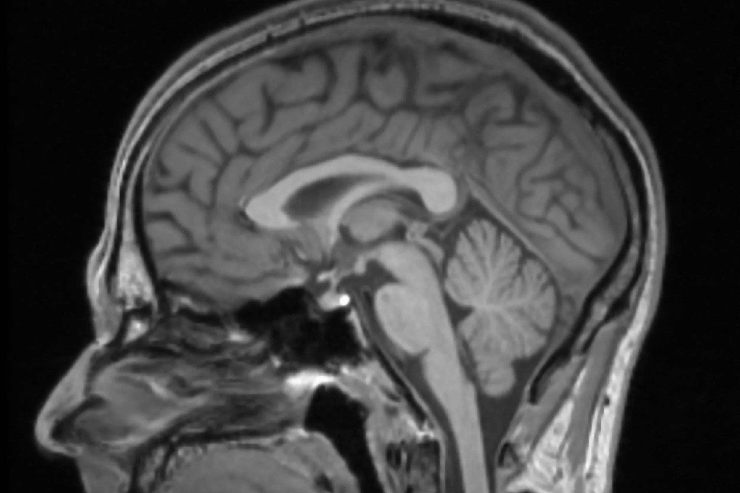
Je krijgt een 3D-scan van je brein!
De foto hierboven is ter illustratie

Je ontvangt een vergoeding van €35,- met daarbij reiskostenvergoeding.
Dit komt boven op de vergoeding voor het stressonderzoek.

Er is een mogelijkheid om een bonus van €10,- te verdienen tijdens het onderzoek.

Wanneer kan je meedoen?

Je doet mee aan het stress-onderzoek.

Je draagt geen metalen voorwerpen in je lichaam (bijv. pacemakers, cochleaire implantaten, koperen anticonceptie spiraal).

Je mag niet zwanger zijn.

Je kan op 1 dag 2,5 uur naar Nijmegen komen.

BEN JE GEÏNTERESSEERD IN HET MRI-ONDERZOEK? MELD JE AAN VIA BOVENSTAANDE ZWARTE KNOP EN GEEF HET AAN BIJ JE INTAKE-GESPREK

Frequently Asked Questions (FAQ’s)

Privacy, data en vertrouwelijkheid

  • Binnen het onderzoek maken we onderscheid tussen persoonsgegevens (bijvoorbeeld je naam of e-mailadres) en onderzoeksgegevens (bijvoorbeeld smartwatch-metingen of antwoorden op vragenlijsten). De onderzoeksgegevens worden gepseudonimiseerd. Dit betekent dat persoonsgegevens niet direct aan de onderzoeksgegevens zijn gekoppeld. In plaats daarvan werken we met een persoonlijke code die wordt opgeslagen in een beveiligd bestand. Het aantal onderzoekers dat toegang heeft tot dit bestand wordt zoveel mogelijk beperkt. We delen de gegevens nooit met andere partijen binnen het DESTRESS-consortium of met externen. Belangrijk om te melden: de uitvoering van het onderzoek gebeurt volledig in overeenstemming met relevante lokale en internationale richtlijnen en met de Nederlandse en Europese wetgeving op het gebied van privacy en gegevensbescherming. Volledige anonimiteit (waarbij persoons- en onderzoeksgegevens helemaal niet aan elkaar gekoppeld kunnen worden) wordt niet toegepast. Pseudonimisatie is noodzakelijk voor een zorgvuldige uitvoering van het onderzoek. Het is namelijk van belang dat wij deelnemers gedurende het onderzoek kunnen contacteren. Bijvoorbeeld wanneer er onverhoopt toevalsbevindingen worden gedaan. Dit kan bijvoorbeeld gaan om afwijkende meetresultaten van een smartwatch die mogelijk wijzen op een technische fout. Persoonsgegevens worden na afloop van het onderzoek maximaal één jaar bewaard, tenzij je hebt aangegeven dat je ervoor openstaat om in de toekomst benaderd te worden voor een vervolgonderzoek. Dit kun je aangeven bij de intake. De onderzoeksgegevens worden in dat geval langer bewaard, minimaal vijftien jaar, zodat analyses kunnen worden uitgevoerd en de gegevens indien nodig later kunnen worden geraadpleegd ter controle van de onderzoeksresultaten. Ook eventueel afgenomen lichaamsmateriaal wordt veilig opgeslagen en bewaard onder de juiste omstandigheden. Het kan zijn dat andere onderzoekers van buiten DESTRESS in de toekomst dus je onderzoeksresultaten analyseren. Deze onderzoekers kunnen dan niet de koppeling maken met je persoonsgegevens.

  • Als je vroegtijdig stopt met het onderzoek, dan gebruiken we alle tot dan toe verzamelde gegevens nog wel voor het onderzoek.

  • Je werkgever heeft meerdere redenen. Hij/zij is er trots op dat zijn/haar medewerkers bijdragen aan wetenschappelijk onderzoek met maatschappelijke impact. Ook laat hij/zij aan de werknemer zien dat het thema serieus wordt genomen en dat het op een innovatieve manier aandacht krijgt. Ook sluit het goed aan bij de CSRD-inspanningen. Maar: je werkgever ontvangt geen inzichten van je persoonlijke gegevens.

  • Je hoeft je werkgever nergens over in te lichten. Het delen van informatie over je deelname is volledig vrijwillig en je werkgever mag je niet dwingen dit te doen.

  • Hierover mag je altijd contact opnemen met het onderzoeksteam. Wij zullen hier een notitie van maken, maar dit zal nooit een probleem vormen voor je deelname.

Onderzoeksopzet en doel

  • Op dit moment zijn er geen concrete plannen om de te ontwikkelen tool commercieel in te zetten. Voor de betrokken organisaties gaat het in deze fase vooral om het verzamelen van kennis die kan helpen om ongezonde stresspatronen tijdig te ontdekken.

  • Het aantal deelnemers heeft geen invloed op je deelname. Het onderzoek gaat gewoon door.

Stressmeting en interpretatie

  • Stress is vooral een mentaal gegeven. Men ‘ervaart’ stress. Eén van de doelstellingen van dit onderzoek is om mentale stressgegevens te koppelen aan de gegevens van de smartwatch. We meten deze stressgegevens via vragenlijsten. Anders gezegd: wij meten geen stress met de smartwatch, maar we meten zaken als je hartslag, beweging, enzovoort. Die lichamelijke metingen koppelen wij dan in het onderzoek aan de mentale metingen van de vragenlijsten. Op die manier proberen wij er juist achter te komen hoe goed die lichamelijke metingen mentale stress weerspiegelen.

  • Het huidige deel van het DESTRESS-onderzoek focust op het vinden van voorspellers van stress. Het is dus puur observationeel, er wordt alleen gekeken welke zaken stress en stress-gerelateerde klachten voorspellen. Op termijn gaat het DESTRESS-team aan de slag met deze observaties om bij te dragen aan een oplossing voor dit soort klachten. Hiervoor zal er rekening gehouden worden met alle mogelijke betrokkenen. Binnen DESTRESS is er een speciale werkgroep die zich bezighoudt met alle juridische en ethische kwesties rondom een mogelijke oplossing. Op die manier proberen we te voorkomen wij dat er bijvoorbeeld alleen degene die de stress ervaart verantwoordelijk wordt gehouden voor diens eigen stress.

  • Het onderzoek is observationeel: wij voeren metingen uit zonder daarbij in te grijpen. Wij willen juist onderzoeken hoe mensen stress ‘in het echt’ ervaren. Dit betekent dus in de eigen omgeving, zonder controle van een onderzoeker. Wij zullen dus niet in actie komen als wij hoge stressniveaus meten.

  • Het persoonlijk rapport zal alléén de directe resultaten van de metingen bevatten. Hieraan is géén interpretatie, aanbeveling of advies verbonden.

Start en besluitvorming

  • Het inclusiegesprek duurt ongeveer een uur. Tijdens het gesprek wordt het onderzoek eerst in detail uitgelegd. Op basis van die informatie kun je dan beslissen of je mee wilt doen of niet. Als je mee wilt doen, dan teken je het toestemmingsformulier, waarop je aangeeft dat je het onderzoek begrijpt en dat je mee wilt doen. Pas daarna zullen er metingen worden gedaan.

  • Je kunt je eerst informeren over het onderzoek door deze website door te nemen. Bij interesse kun je jezelf opgeven door het online deelnameformulier in te vullen. Deze is beschikbaar via de zwarte knop. Wij proberen je dan binnen een week te bellen, maar als er veel interesse is dan kan dit wat langer duren. Tijdens dit gesprek leggen wij het onderzoek verder uit. Bij interesse plannen we dan een inclusiegesprek in. Na het telefoongesprek sturen wij dan een informatieformulier naar je op met meer informatie. Er zit dan minimaal één dag tussen het ontvangen van het informatieformulier en het inclusiegesprek. Tijdens het inclusiegesprek nemen wij dan samen dit informatieformulier met je door en beantwoorden wij je vragen. Als het onderzoek voldoende duidelijk is en je wilt meedoen, dan vragen wij je om het toestemmingsformulier te tekenen. Pas op dat moment ga je definitief akkoord met je deelname.

Veranderingen tijdens deelname

  • Wisselen van werk- of opdrachtgever kán gevolgen hebben voor je mentale gezondheid. Daarom vragen we dit uit via de vragenlijsten die je drie keer per jaar opgestuurd krijgt. Dit heeft geen consequenties voor je deelname.

  • Als je meer dan drie maanden een werkpauze neemt, dan kun je niet meer meedoen aan het onderzoek. Neem in dit geval contact op met de onderzoekers.

Deelname en belasting

  • In de ideale wereld voer je zoveel mogelijk metingen uit. Natuurlijk leven wij niet in die ideale wereld. Het is daarom niet erg om eens je smartwatch niet te dragen of een vragenlijst onbeantwoord te laten. Wanneer we merken dat dit heel vaak gebeurt, dan nemen we contact met je op om na te vragen hoe het met je gaat en bespreken we samen mogelijke oplossingen om weer deel te nemen aan het onderzoek.

  • Het doel van het onderzoek is om voorspellers van stress te vinden. Omdat er zeer veel mogelijke voorspellers zijn, moeten we veel metingen uitvoeren. Zo kunnen we namelijk de ‘ware’ voorspellers onderscheiden van ‘schijnbare’ voorspellers. Vandaar dat er een jaar lang metingen worden uitgevoerd. De metingen bestaan uit de volgende onderdelen: je draagt een smartwatch en vult voor het grootste deel van het jaar alleen in de ochtend en avond een korte vragenlijst in. In het begin is het wel wat intensiever: je komt éénmalig op het onderzoekscentrum en krijgt in de eerste twee weken wat meer vragenlijsten. Maar over het algemeen zijn de metingen zo ingericht dat ze je dagelijkse gang van zaken minimaal onderbreken. Bij deelname aan het individuele, optionele deelonderzoek (het MRI-onderzoek) ben je wel iets meer tijd kwijt; dit betreft één dagdeel.

  • Wij verwachten dat je, vanwege de intensieve periode van metingen in de eerste twee weken van het onderzoek, in ieder geval in die periode aan het werk bent. Op die manier krijgen wij een goed beeld van hoe jij jezelf op je werk voelt. Gedurende de rest van de onderzoeksperiode is het natuurlijk prima dat je weleens op vakantie gaat, maar ook dan meten wij graag verder. Je kunt niet meedoen als je voor een periode van meer dan drie maanden niet werkt.

  • Tijdens de eerste twee weken na het inclusiegesprek beantwoord je via je telefoon dagelijks vragen. Dit gaat om maximaal 8 vragenlijsten van 2 minuten per keer. Na de eerste twee weken krijg je 1 vraag in de ochtend en 1 vraag in de avond. Dit kost je maximaal 1 minuut per dag. De metingen met de Garmin smartwatch zijn volledig passief. Dit kost je geen extra tijd. Daarnaast vragen wij je driemaal in het jaar om een aantal vragenlijsten in te vullen. Dit kost per keer ongeveer een uur.

  • Wij hopen natuurlijk dat je de smartwatch zo veel mogelijk draagt, ook ’s nachts. Doe je dit niet, dan heeft dit gevolgen voor de kwaliteit en kwantiteit van de metingen. We kunnen dan namelijk geen lichamelijke slaapgegevens koppelen aan ervaren stressklachten. Voor het niet dragen van de smartwatch gedurende het slapen geldt dus hetzelfde als voor alle andere metingen. Wij hebben graag dat je zo veel mogelijk metingen uitvoert. Als je veel metingen mist, nemen we contact op om erachter te komen hoe het met je gaat, waar het aan ligt dat je veel metingen mist en hoe we dit kunnen oplossen.

  • Als je voortijdig met het onderzoek wilt stoppen, vragen we je contact op te nemen met de onderzoekers. In overleg met de onderzoekers kun je de tijd vergoed krijgen die je tot dan toe aan het onderzoek hebt besteed. Als je aan minder dan de helft van de studie hebt deelgenomen, dan vragen wij je om de Garmin smartwatch naar ons terug te sturen, zodat deze voor een andere deelnemer gebruikt kan worden. Rond je het hele onderzoek af? Dan krijg je uiteraard de volledige vergoeding van €200, reiskosten, en mag je de Garmin smartwatch houden.

Communicatie tijdens deelname

  • Bij je deelname ontvang je een informatieformulier. Hierop staan de contactgegevens van de onderzoekers die je kunt benaderen.

  • Je ontvangt tussentijds DESTRESS-nieuws. Hierin staan leuke weetjes en mogelijk zeer globale tussentijdse resultaten. Je ontvangt helaas géén tussentijdse persoonlijke resultaten. Deze zouden namelijk je gedrag en zo het onderzoek kunnen beïnvloeden.